短视频成瘾背后的原理你知道吗?


短视频成瘾背后的原理你知道吗?

 那根葱 神经现实 2021-09-08 21:00
图片


抖音、快手、美拍、秒拍、小咖秀……短视频行业的市场规模逐渐接近2000亿,并占据了用户使用时长排行榜第一名。智能算法的出现让短视频行业在2017年时进入了惊人的爆发期,而在去年,新冠疫情导致的隔离又再次促进了其用户规模的大幅增长[1]。


最新的《中国互联网发展状况统计报告》显示,短视频用户已占全体网民的87.8%,人均日使用时间长达125分钟,超过半数的人每天都会刷短视频节目[2]。与此同时,2021年短视频用户使用时长的增长大幅领先其他行业,为10.2分钟,而排名第二的社交电商仅增长了1分钟[3]。越来越多的人陷入了在APP内不断上滑刷新的怪圈之中。你是否好奇过,在这个上瘾现象的背后,我们的大脑究竟发生了什么?


图片

2018.6-2020.12短视频用户规模及使用率

《中国互联网发展状况统计报告》


为什么会上瘾?


浙江大学的一项功能性核磁共振成像研究为我们揭示了短视频与成瘾之间的关联(如图所示)[4]。该研究对浙江大学的153位抖音用户进行了一次问卷调查。其中,约45.8%的调查参与者存在轻中度的抖音上瘾问题,且有5.9%的人对抖音严重上瘾。统计分析显示,自控能力越差,上瘾程度越高现代常见的焦虑情感可能会促使人们将小视频视为逃离压力的避风港,而缺乏自控力的人可能更难从这种逃避中抽离出来,进而对短视频产生过度的依赖。


图片

默认模式网络的三个节点与大脑其他区域的功能性连接图示。(a)在观看推荐算法所推荐的视频时,后扣带回皮质(posterior cingulate cortex)与初级视觉、听觉区域,以及一部分顶叶区域的功能性连接增强。(b)相同情况下,内侧前额叶皮层(medial prefrontal cortex)与前扣带回皮质(dorsal anterior cingulate cortex)等其他区域的功能性连接减弱。(c)颞极在颞上回内的功能性连接增强,与楔前叶、腹内侧前额叶皮质(ventromedial prefrontal cortex,vmPFC)等诸多区域的功能性连接减弱。

参考文献[4]


青少年短视频沉迷是人们重点关注的问题。由大脑生长发育导致的荷尔蒙水平变化会影响青少年的自控力,并使他们面临更高的心理健康风险[5]。这可能会让他们更容易对短视频成瘾,并反过来影响他们的心理健康水平。西南大学2021年发布的一项针对3000多名中国青少年的调查研究显示,过度依赖抖音的青少年更易产生抑郁、焦虑等的心理问题,这些心理问题可能会导致短期记忆的下降[6]。沉迷手机也容易导致青少年睡眠质量降低,影响大脑的健康成长[7]。同时,短视频的内容还会影响到青少年的自我评判。对于女性受调查者,使用抖音等社交媒体的频率与外貌焦虑成正相关[8]。短视频也可能带来更多的向上社会比较*,降低青少年的自信心与自尊心[7]。


*作者注

向上社会比较(upward social comparison)描述的是一个个体与(他自认为)比他优秀的个体相比较的现象。


此外,短视频也是中老年人退休后的新精神寄托。北京师范大学新闻传播学院执行院长喻国明教授认为[9],中老年人社会生活相对单一,这使得他们能将大量时间投入到短视频平台。同时,因为他们缺少互联网的推荐算法的相关经验,所以在接收这类信息时会更容易沉浸、成瘾。随着年龄增加,认知能力的衰退会干扰到中老年人的自控力[10],对社会认同的需求也会诱发对短视频的沉迷[11]。尽管短视频对中老年人大脑的影响尚不明晰,但可以明确的是,延缓大脑衰老需要规律的体育运动与丰富多彩的社交生活[12],刷短视频的行为可能会取代更加健康的生活习惯,对大脑的健康老化造成不利影响。


沉浸时的大脑


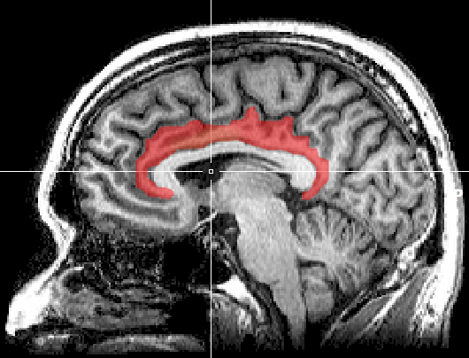
默认模式网络(default mode network)活动的降低是大脑在集中注意力时最明显的信号。默认模式网络主要由内侧前额叶皮质,后扣带回皮质和角形脑回(angular gyrus)组成,是一个横跨整个大脑的大型神经网络。在人们无事可做、胡思乱想的时候,默认模式网络会变得非常活跃。同时,它也参与包括环境观测、自我参照、社会认知等其他复杂的认知功能。


图片

大脑默认模式网络的3D模拟图像

Andreashorn 


自我参照(self-referential processing)指一个个体在思考跟自我有关的信息时的认知过程,这包括了追忆过去、计划未来以及体会当下。在短视频中,个性化推荐的内容往往与用户喜好、兴趣、经验有比较高的契合,因此,它们会触发观看者的自我参照过程。在这个过程中,负责投射过去与未来的内侧颞叶子系统*的活跃度会降低,处理当下觉知的背内侧前额叶皮质的子系统**的活跃度会升高。于是,人们关于过去和未来的思维活动被抑制,注意力完全集中在当下。与此同时,默认模式网络与初级视觉皮层、初级听觉皮层以及额顶叶网络(frontoparietal network)的沟通被加强。初级感觉皮层解码和加工基础的视觉和听觉刺激。额顶叶网络则负责维持注意力与短期记忆。这些网络的密切合作调动了过去积极的观影体验,这些体验自上而下地调控了注意力的分配,使用户的注意力更多地集中在视频提供的视觉和听觉刺激上。


*作者注

*内侧颞叶子系统(medial temporal lobe subsystem,MTL)包含了腹内侧前额叶皮质、顶下小叶后部(posterior inferior parietal lobule,IPL)、海马旁皮质(parahippocampal cortex,PHC)、海马结构(hippocampal formation,HF+)等区域。


**背内侧前额叶皮质子系统(dorsomedial prefrontal cortex subsystem,dmPFC)包含了背内侧前额叶皮质、颞顶交界区域(temporoparietal junction)和颞极(temporal pole)。


集中的注意力


后扣带回皮质是默认模式网络的重要枢纽,其主要功能之一是平衡向内与向外的注意力。向内注意力(internally oriented attention)指的是对内部思考的专注,向外注意力(externally oriented attention)指的是对外部刺激的关注。推送视频会使后扣带回皮质与负责短期记忆的额上回(superior frontal gyrus)、额中回(middle frontal gyrus)的连接增强,使观看者的注意力从外部转向内部,同时通过整合短期记忆中储存的视频信息,让大脑对视频信息进行更深度、更有意义、更高级的处理。


图片

扣带回皮质

Wikimedia Commons


在一部分脑区变得更加活跃的时候,另一部分脑区的活动出现了减弱。背前扣带回皮质 、尾状核(caudate),还有一部分的丘脑(thalamus)负责注意力分配以及对抑制的控制(inhibition control)*。当我们在看短视频时,这些区域的活动同时减弱,彰示了自控能力的降低。同时,它们与默认模式网络连接的减弱还会降低个体对自控力的把控和对意识的觉察,使人们在观看短视频时更加沉浸忘我,无法自拔。


*作者注

抑制控制指的是一个个体在抑制自己的冲动时的认知过程,比如在饥饿的时候拒绝食物的诱惑。


上瘾与沉迷


观看视频时,视频的刺激会激活大脑的奖赏通路。奖赏通路内的神经元会释放大量的多巴胺,让大脑将特定的行为与快乐联系起来,使人们产生再次执行这个行为的渴望。2019年的一项新研究表明,小脑可能也是奖赏通路的一部分,它与腹侧被盖区直接相连,而腹侧被盖区则是处理奖赏的核心区域之一[13]。腹侧被盖区和黑质(substantia nigra)会共同强化那些能够获得奖励的特定行为。其中,黑质的神经元倾向于编码信息的显著性,让这些信息更容易从其他噪音信息中脱颖而出。同时,腹侧被盖区的神经元会对奖励的价值高低进行编码。这个过程允许大脑着重处理视频提供的感官信息,并让这些刺激显得弥足珍贵。研究发现,相较一般视频,个性化推送的视频会显著激活腹侧被盖区,说明这些算法推荐的视频对于观看者有更高的奖励价值,也会让人更容易上瘾


图片

(a)腹侧被盖区在MNI脑模板上的位置。(b)相较一般视频,在观看算法推荐的视频时,腹侧被盖区的活跃程度显著更强。

参考文献[4]


人的认知能力会因此受到影响吗?


鉴于短视频的流行是近年来才有的现象,当下并没有足够的证据来表明短视频本身会对我们的认知能力造成什么确切的影响。不过,现在已有不少科学家着手研究信息技术可能会给人类大脑带来的变化,学术界也存在一些相关的研究案例可供人们参考和推测。

 

一些研究发现,互联网上短暂而即时的快速信息摄入会使人们更难长时间维持注意力。2020年于《自然》发表的一项关于“社交媒体使用症”(social-networks-use disorder)的研究显示,社交媒体的成瘾程度与注意冲动(attentional impulsivity)*的强度成正比。同时,注意冲动与社交媒体成瘾存在着一种双向影响,即有注意冲动倾向的人也更易受到社交媒体吸引。该研究团队还猜测,网络上的刺激或许能够通过影响大脑的注意过程来削弱自控力,这种冲动会让人们追求即时奖励而忽视长期风险。人们会更容易被社交媒体的铃声和视觉刺激吸引,从而对奖励产生渴望,这会使他们更难抑制自己的冲动[14]。


*作者注

在心理学中,注意冲动指代无法集中注意力的现象。


图片

在两种执行功能测量(TMT-B、MCST)中,注意冲动(BIS-15)与网络成瘾(sIAT-SNS)表现出正相关。

参考文献[14]


另外一项在《世界精神病学》发表的研究综述称,网络中的“信息奖励”(information reward)会通过刺激人的皮质-纹状体多巴胺系统(cortico-striatal dopaminergic system)来强化不断检查手机的强迫性行为[15]。在综述提到的一项脑成像研究发现,经常一心多用的人在分心任务上的表现更差,但是相关脑区的活跃程度却有所增加[16]。这说明大脑的工作效率正在“事倍功半”——大脑付出了更多的努力,却获得了更糟的结果。另外一项关于大脑结构的研究显示,在互联网高度使用者前额叶皮质中,那些与对抗分心、保持任务目标相关的脑区*灰质质量减少了,而灰质是由大量的神经元聚集形成的重要神经组织。这或许暗示了过度使用互联网对大脑健康的损害。然而,这只是科学家对互联网下大脑变化的初步探索,它们的可靠性还需要更多的重复实验支撑[15]。


*作者注

对抗分心,维持目标聚焦的脑区包括右额极(right frontal pole)与前扣带回皮层。


图片

分心任务和大脑活动之间的联系。右半球前额叶皮层区域显示出媒体多任务(MMT)得分与分心注意条件下的大脑活动呈显著正相关(A)。

参考资料[16]


尽管不少研究都指向了过度使用网络的负面影响,但目前还没有足够的证据证明其导致的认知能力下降是长期的、不可逆转的。因此,只要合理分配看小视频的时间,多与家人朋友在现实中喝茶聊天,我们还是能够做到娱乐生活两不误的。


作者:那根葱 | 封面:Nathan Hackett | 排版:光影


参考文献


[1]“2020年中国短视频行业市场现状及发展前景分析.” 前瞻产业研究院, 19 Jan. 2021, bg.qianzhan.com/trends/detail/506/210119-b062f308.html.

[2]“我国8.88亿人刷短视频 你每天刷多久?.” 快科技, 27 Aug. 2021, news.mydrivers.com/1/779/779232.htm.

[3]“极光:2021年Q2移动互联网——行业数据研究报告.” 极光, 30 July 2021, www.jiguang.cn/reports/542.

[4]Su, Conghui, et al. “Viewing Personalized Video Clips Recommended by TikTok Activates Default Mode Network and Ventral Tegmental Area.” NeuroImage, vol. 237, 2021, p. 118136. Crossref, doi:10.1016/j.neuroimage.2021.118136.

[5]Casey, B. J., and Kristina Caudle. “The Teenage Brain.” Current Directions in Psychological Science, vol. 22, no. 2, 2013, pp. 82–87. Crossref, doi:10.1177/0963721413480170.

[6]Sha, Peng, and Xiaoyu Dong. “Research on Adolescents Regarding the Indirect Effect of Depression, Anxiety, and Stress between TikTok Use Disorder and Memory Loss.” International Journal of Environmental Research and Public Health, vol. 18, no. 16, 2021, p. 8820. Crossref, doi:10.3390/ijerph18168820.

[7]Woods, Heather Cleland, and Holly Scott. “#Sleepyteens: Social Media Use in Adolescence Is Associated with Poor Sleep Quality, Anxiety, Depression and Low Self-Esteem.” Journal of Adolescence, vol. 51, 2016, pp. 41–49. Crossref, doi:10.1016/j.adolescence.2016.05.008.

[8]Vall-Roqué, Helena, et al. “The Impact of COVID-19 Lockdown on Social Network Sites Use, Body Image Disturbances and Self-Esteem among Adolescent and Young Women.” Progress in Neuro-Psychopharmacology and Biological Psychiatry, vol. 110, 2021, p. 110293. Crossref, doi:10.1016/j.pnpbp.2021.110293.

[9]“中老年人,迷上短视频但别迷失自我-新华网.” 新华网, 4 Nov. 2020, http://www.xinhuanet.com/ent/2020-11/04/c_1126694444.htm.

[10]Rodin, Judith, and Ellen Langer. “Aging Labels: The Decline of Control and the Fall of Self-Esteem.” Journal of Social Issues, vol. 36, no. 2, 1980, pp. 12–29. Crossref, doi:10.1111/j.1540-4560.1980.tb02019.x.

[11]何亮. “研究显示短视频成‘银发族’社会参与新方式.” 中国高新网, 科技日报, 27 Aug. 2021, http://www.chinahightech.com/html/chuangye/kjfw/2021/0827/5605134.html.

[12]Peel, Nancye M., et al. “Behavioral Determinants of Healthy Aging1.” American Journal of Preventive Medicine, vol. 28, no. 3, 2005, pp. 298–304. Crossref, doi:10.1016/j.amepre.2004.12.002.

[13]Carta, Ilaria, et al. “Cerebellar Modulation of the Reward Circuitry and Social Behavior.” Science, vol. 363, no. 6424, 2019, p. eaav0581. Crossref, doi:10.1126/science.aav0581.

[14]Wegmann, Elisa, et al. “Interactions of Impulsivity, General Executive Functions, and Specific Inhibitory Control Explain Symptoms of Social-Networks-Use Disorder: An Experimental Study.” Scientific Reports, vol. 10, no. 1, 2020. Crossref, doi:10.1038/s41598-020-60819-4.

[15]Firth, Joseph, et al. “The ‘Online Brain’: How the Internet May Be Changing Our Cognition.” World Psychiatry, vol. 18, no. 2, 2019, pp. 119–29. Crossref, doi:10.1002/wps.20617.

[16]Moisala M, Salmela V, Hietajärvi L et al. Media multitasking is associated with distractibility and increased prefrontal activity in adolescents and young adults. NeuroImage 2016;134:113-21.


图片
图片
图片

本文来自微信公众号“神经现实”,谢绝转载到其它平台。如需开设白名单,请在后台回复“转载”,查看转载规范。公众号改版,星标“神经现实”公众号,不错过任何一条消息。

图片


粤ICP备2021135433号-1